
Serviços
Na SAFECOR contamos com estrutura completa (Eletrocardiograma, Ergometria, Ecocardiograma, Ecodoppler de Carótidas, Holter e MAPA) para você fazer todos seus exames sem precisar de um novo deslocamento.
Eletrocardiograma
O eletrocardiograma de 12 derivações é um exame de avaliação da atividade elétrica do coração através de eletrodos fixados na pele. Através dele diagnosticamos arritmias, isquemia miocárdica e distúrbios da condução.
MAPA
A Monitorização Ambulatorial da Pressão Arterial (MAPA) é um exame que permite o registro indireto e intermitente da pressão arterial durante 24 horas, enquanto o paciente realiza suas atividades habituais e também durante o sono.
Teste Ergométrico
Exame realizado para a avaliação do funcionamento cardiovascular quando submetido a esforço físico gradualmente crescente. São observados os sintomas, o comportamento da frequência cardíaca, da pressão arterial e do eletrocardiograma antes, durante e após o esforço. Utilizado para liberação para atividade física, diagnóstico de cardiopatia isquêmica e avaliação funcional.
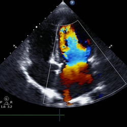
Ecocardiograma
É um dos exames mais importantes quando falamos em cuidados relacionados ao coração. Avalia a estrutura e função cardíaca e detecta doenças valvares.
Holter
Consiste em um eletrocardiograma contínuo e portátil por 24 horas. A finalidade deste exame é identificar distúrbios do ritmo cardíaco nas atividades diárias do paciente.
Ecodoppler de Carótidas e Vertebrais
Exame feito para avaliar a anatomia e diagnosticar de ateromatose nos vasos cervicais.
Depoimentos
![]() | ![]() | ![]() | ![]() |
|---|---|---|---|
![]() | ![]() |







